Contact Us
Ceramic Braces Solutions in Apollo Beach, FL, for Discreet Care
Ceramic Braces Blend Easily With Your Smile
Schedule Consultation
Ceramic Braces in Apollo Beach, FL
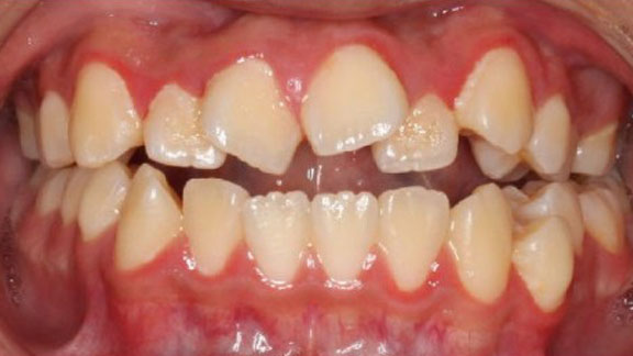
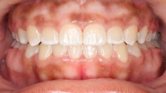
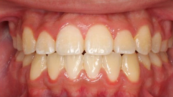
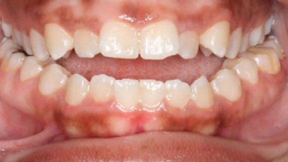
Ceramic braces are as effective as traditional metal braces at straightening teeth and correcting orthodontic issues. However, they are made from a translucent or tooth-colored ceramic material that is less noticeable. At South Shore Orthodontics, Dr. Matt Ahrens is a board-certified orthodontist who can determine if you are a good candidate for ceramic braces in Apollo Beach, FL.
What Are Ceramic Braces?
Ceramic braces are an orthodontic appliance that can straighten teeth and correct orthodontic issues. They are made from a tooth-colored ceramic material that blends in with your natural teeth, so they are less noticeable than traditional metal braces. They are popular for young children, teens, and adults who want to correct dental issues more discreetly.
Who Is a Good Candidate for Ceramic Dental Braces?
Dr. Ahrens and our team can help you determine if you are a good candidate for ceramic braces. We will consider your age, the type and extent of your orthodontic issues, your oral hygiene routine and lifestyle, and your personal preferences. You might be a good candidate if you:
- Have bite issues like an open bite, underbite, overbite, crossbite, or overjet
- Have overcrowding or gaps between your teeth
- Have sensitive teeth or gums
- Want a less noticeable alternative to traditional metal braces
- Can commit to the care and cleaning of your braces and maintaining a consistent oral hygiene routine
Benefits of Clear Ceramic Braces
Ceramic braces are much less noticeable than traditional metal braces, as they are made from a tooth-colored material. They offer more discreet orthodontic treatment while still correcting most of the same issues that other types of braces can treat. The biggest benefits are:
- A discreet, less obvious appearance
- Improved comfort and reduced risk of irritation or damage to gums and cheeks
- Effective treatment of a wide range of orthodontic issues, including bite problems, overcrowding, and misalignment
- Faster treatment when compared to clear dental aligners
- Are a good option for patients of all ages
Ceramic Braces Treatment Process
Before you are fitted for ceramic braces, Dr. Ahrens will do a thorough dental examination. He will diagnose your orthodontic issues and discuss possible treatment options. He will ask about your oral hygiene routine, oral and overall health history, and lifestyle and will then take dental x-rays and dental impressions to create your treatment plan. In general, you can expect:
- Personalization – Ceramic braces are designed to be discreet, but you can still customize them with different color ligatures or archwire finishes.
- Fitting and Placement – Ahrens will clean and prepare your teeth for braces placement. He will bond brackets to the front of each tooth and insert an archwire through the brackets. He will secure the archwire with elastic bands or ligatures.
- Adjustments – You will return to our office every 4-12 weeks for adjustments. Dr. Ahrens will perform a dental exam to assess the progress of your treatment and may take dental x-rays. He will remove and adjust the archwire or replace it. He will also replace your ligatures.
- Treatment – Your treatment time depends on your age, oral hygiene routine, and the type and extent of your orthodontic issues. Most people need treatment for 6-36 months.
- Removal and Post-Treatment Care – When your treatment is complete, Dr. Ahrens will remove the braces and clean your teeth. He will then fit you for a retainer, which you should wear while sleeping to maintain your results and protect your teeth. He will also give you advice on post-treatment care.
Caring for Ceramic Clear Braces
Ceramic braces are susceptible to stains, damage, and breaking. You will be given clear instructions on how to care for your braces during treatment:
- Brush twice per day with a soft-bristled toothbrush
- Use a fluoridated toothpaste or mouthwash
- Floss at least once per day
- Use floss threaders or interproximal brushes to clean around your braces
- Avoid dark-colored foods or drinks that could stain your braces or discolor them
- Visit your orthodontist to treat stained ceramic braces
- Avoid hard and sticky foods, and do not chew on ice, pens or pencils, or other objects
- Do not use your teeth to open packages
- Wear a mouthguard if you play contact sports
FAQs About Ceramic Teeth Braces

Why Choose South Shore Orthodontics
Whether you’re interested in ceramic braces or another treatment, getting the proper orthodontic care your family needs provides many benefits for your smile, oral health, and self-confidence. At South Shore Orthodontics, Dr. Matt Ahrens and our team offer a different kind of treatment experience. We have created a fun, relaxing, patient-centered environment for you to enjoy while undergoing orthodontic care. Our team members are experts at delivering techniques and personalized instruction on how to best care for your smile while wearing braces.
Schedule a Consultation for Ceramic Braces
If you want a more discreet treatment option than traditional metal braces, you may be a good candidate for ceramic braces. Call us now or contact us online to schedule a consultation. Dr. Ahrens and our team can show you photos of patients before and after ceramic braces treatment and help you explore the pros and cons of metal vs ceramic braces. We proudly serve Apollo Beach, FL, Gibsonton, Riverview, and the surrounding areas.
